TREATMENTS
See more about specialist treatments - Click on the images below
TREATMENTS OFFERED INCLUDE
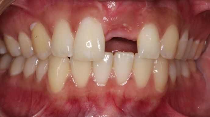
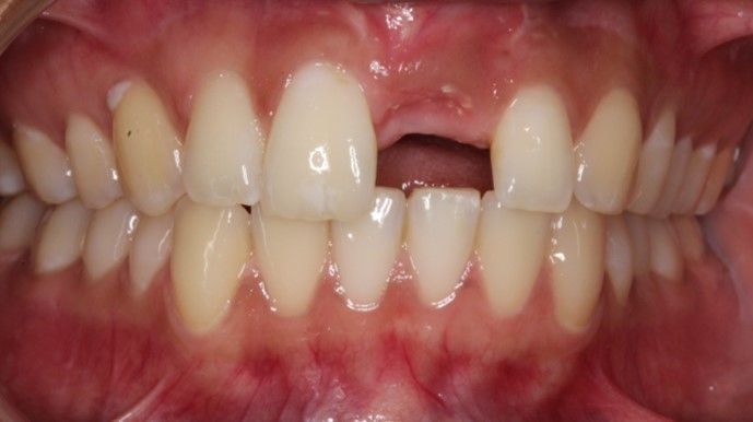
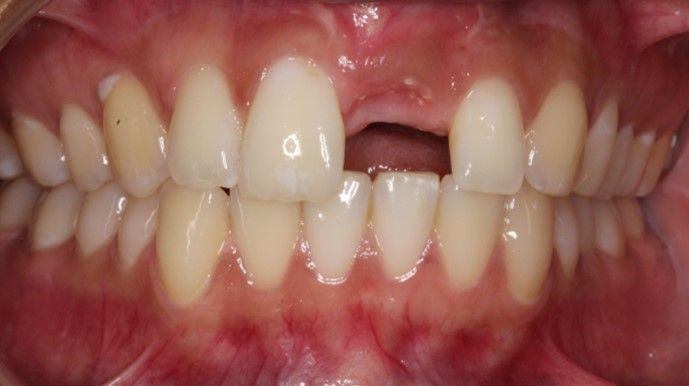
DENTAL IMPLANTS
- Dental implant placement surgery
- Dental implant supported and retained restorations
Dental implants are an increasingly popular restorative treatment, with osseointegration becoming more predictably established and aesthetic techniques advancing. However, they are not a suitable restorative option for all patients. We require a thorough pre-operative assessment, often including a Cone Beam CT, to assess any associated risks and determine the suitability of treatment. When approaching us to discuss dental implant surgery, we ensure our patients are aware of any alternative restorative treatment options, enabling well-informed decisions to be made.
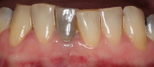
Our dental implant treatments will typically take place over several months to ensure the optimal healing time, and optimal clinical and aesthetic outcome. Some of the many steps will typically include three-dimensional surgical placement, aesthetic hard tissue grafting, soft tissue handling during second stage surgery, soft tissue sculpting with a provisional restoration and finally placement of the definitive restoration. Due care is also taken to ensure patients are educated in in how to maintain a healthy dental implant system once in place.
Whilst we are able to restore a variety of implant systems, our system of choice for dental implants is Straumann. Straumann is one of the global leaders in the manufacturing of dental implants, which have been developed and produced in collaboration with leading hospitals, research institutes and universities, and has a well-established, evidence based reputation spanning three decades.
A gallery of our own before and after images is under construction and will follow shortly. Below is a digital demonstration outlining the basic approach of an implant-borne single tooth treatment. Note, this is for general demonstration purposes only, and the results may not be indicative for each dental implant placement and may not apply to every patient.
PROSTHODONTICS (Crowns, Bridges and Dentures)
- Full mouth rehabilitations
- Aesthetic crowns and veneers
- Removable prosthetics (partial and complete dentures)
- Adhesive and conventional bridges
- Dentine-bonded crowns
ENDODONTICS (Root Canal Treatment)
-
Endodontics with challenging anatomy
- Endodontic retreatment
- Sclerosed canals
- Post removal
- Surgical endodontics (with MTA)
- Molar endodontics
- Open apex endodontics
PERIODONTICS (Gum treatment)
- Treatment planning
- Non-surgical treatment
- Surgical procedures
FEES
A comprehensive consultation appointment is £185. This includes a one hour assessment, discussing what you wish to achieve, a detailed discussion of your medical history, and clinical examination. This is followed up with a detailed report and estimate, outlining your treatment options, and a forecast of cost based on surgery time, laboratory work and complexity of treatment.
Costs of investigations (e.g. panoramic x-ray) are at an additional cost.
If you are in a dental plan in your dental practice we will consider a discretionary discount at the rate offered in that practice.








