Return to Treatments
DENTAL IMPLANTS - CROWNS & BRIDGES
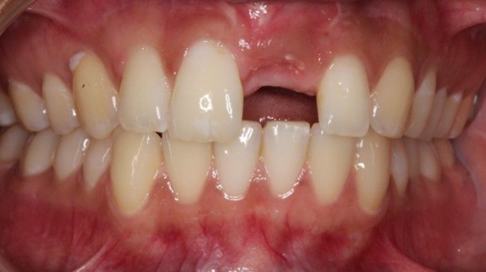
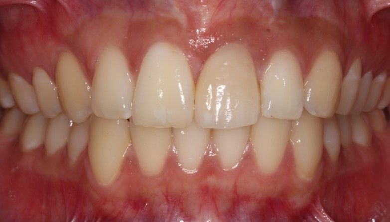
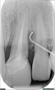
Case 1 - Upper incisor and bone loss due to root fracture after trauma to the tooth. Replaced with dental implant and simultaneous bone grafting
Case 2 - Lower incisor replaced with dental implant crown
Case 3 - Missing upper incisor teeth failed post crowns replaced with bridge on two dental implants
