JOINT ORTHODONTIC RESTORATIVE DENTISTRY TREATMENTS
Working closely with an orthodontic consultant colleague allows the most challenging of cases to be treated with optimal aesthetic and functional outcomes. Patients are jointly assessed prior to commencing treatment to plan the orthodontic and restorative dentistry phases of treatment. Orthodontic treatment ensures that spaces requiring tooth replacement are optimal and root angulation favourable for dental implant placement. Also that an ideal occlusion is achieved for the build up and reshaping of teeth with ceramic restorations.
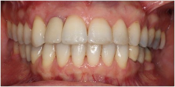
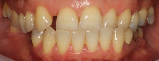
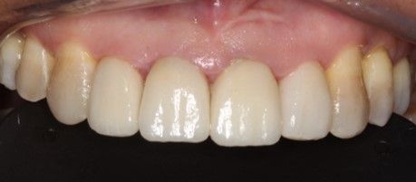
CASE 1 - Class III malocclusion, missing upper right lateral incisor
CASE 2 - Discolouration of teeth (Amelogenesis imperfecta), small teeth restored with dental implant and ceramic veneers
CASE 3 - Deep bite treated with jaw surgery, then orthodontic treatment, followed by dental implant placement and ceramic veneers

