Return to Treatments
TOOTH WEAR & ORAL REHABILITATION
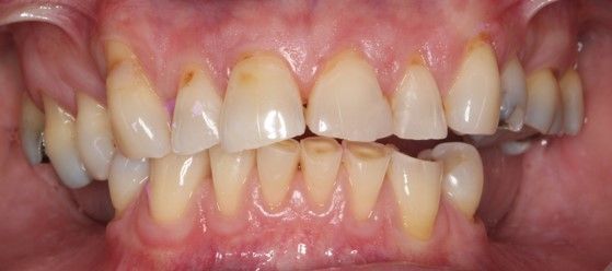
Tooth wear results from grinding of teeth and from erosion from dietary intake in foods and drinks, as well as acid reflux. This results in the teeth becoming worn, the inner dentine of the teeth being exposed. The restoration of teeth building them up to their original length often requires the occlusion to be reorganised.
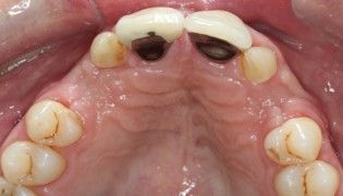
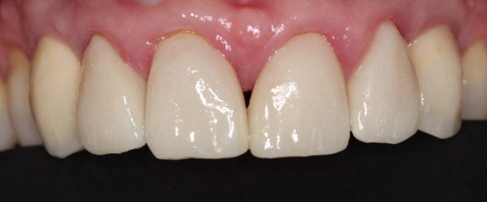
Case 1 - Tooth wear and missing posterior teeth restored with composite build ups, ceramic veneers and dental implant bridges
Case 2 - Impacted canines and microdontic lateral incisors treated with ceramic backings and composite build ups, ceramic veneers and dental implant bridges
