Return to Treatments
DENTAL IMPLANT SOLUTIONS
FULL ARCH BRIDGE
Five dental implants retaining a fixed upper bridge with individually fabricated zirconia crowns on a precision milled framework with ceramic gum.
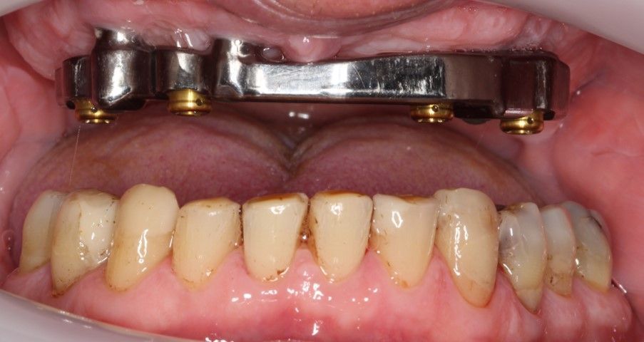
FULL ARCH BAR RETAINED
Four dental implants placed in the mandible and maxilla can be linked with a precision milled bar to retain and support an overdenture. This has the advantage of being removable for cleaning and maintenance.
IMPLANT RETAINED DENTURE
Four dental implants in the upper arch with precision attachments can retain a denture that does not need coverage of the palate to retain it. This allows the enjoyment of food taste and temperature to be retained.
